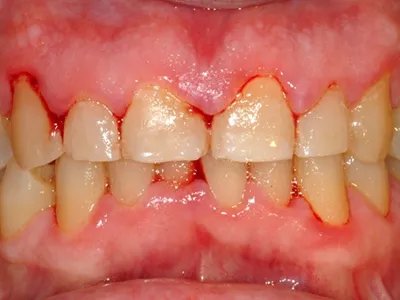
概述牙龈炎患者牙龈处可见出血,常发生在受到刺激后,同时可伴有牙龈乳头肿胀。牙龈炎常见的病因是口腔卫生差,另外牙结石、不良修复体等也可造成。牙龈炎牙龈萎缩出血图

牙龈炎患者牙龈萎缩,部分牙龈出现溃疡,有白色溃疡面,上牙龈局部已经出现出血情况,患者自觉瘙痒或疼痛等不适症状。牙龈炎牙龈出血图

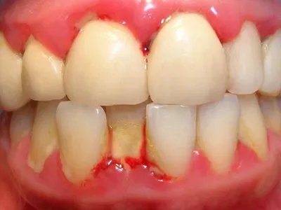
牙龈炎患者口腔上、下牙龈有多处渗血症状,牙龈红肿,颜色为亮红色,患者自觉瘙痒、肿胀等不适,不及时治疗,可能出现牙龈萎缩等症状。牙龈炎牙龈红肿出血图

牙龈炎患者牙龈红肿,伴有多处渗血,牙龈颜色为亮红色,牙龈与牙齿连接部位有黄色牙结石存在,严重时出现牙龈边缘糜烂,需及时治疗。牙龈炎牙龈肿出血图

牙龈炎患者局部因炎性刺激,牙龈乳头肿胀、凸起,受到刺激后出血,一般不出现疼痛,但患者自觉会有牙龈黏膜发胀的感觉。牙龈炎症状可以自行消退,但也可能会长期存在,反复发作。牙龈炎相关知识症状牙龈炎可先引起牙齿与牙龈之间的沟(龈沟)加深,然后牙龈充血,炎症围绕一个或多个牙齿,伴牙龈乳头肿胀和易出血。一般无痛,可自行消退,也可维持轻度炎症数年。病因牙龈炎常见的病因是口腔卫生差,不良的口腔卫生使牙菌斑沉积于牙齿与牙龈之间,造成龈沟加深,另外牙结石、不良修复体等也可造成牙龈炎的发生。治疗牙龈炎患者可通过改善口腔卫生控制疾病,同时使用抗菌漱口液,如复方氯己定含漱液,并进行彻底的洁治处理。必要时,重新修整修复体的不良外形,并祛除局部刺激因素。
