现在人们都非常的重视自己的牙齿健康,都希望有一口又白又健康的牙齿,在我们身边就可以看到有好多人的牙齿不白,黄黄的,给人的感觉特别的恶心,所以就有好多的人想去将牙齿美白,那么洗牙可以让牙齿变白吗?

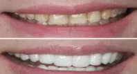
洗牙并不能使牙齿本身变白,而是维护牙周健康的一种保健治疗措施。但洗牙后,由于除掉了牙齿上的污垢,看起来牙齿清洁干净,像是变白了,口腔感觉也会轻松舒适。洗牙一定程度上能改善牙齿颜色,但是效果并不明显。因为洗牙主要去除的是牙结石、牙垢。而洗牙之后依旧是牙齿原来的颜色,可以去除牙菌斑,对一般的发黄效果不好。但是洗牙是一个好习惯,定期洗牙能减少口腔细菌,如果想要改变牙齿颜色达到美白的效果,可以到医院根据专业医生的建议到口腔科做超声波洗牙治疗。
洗牙在一定程度上虽然可以改善牙齿的洁白程度的,但是洗牙的次数还是不能够太多了,如果洗牙次数过多就非常容易造成牙齿的脱落等情况,建议最好还是控制一下洗牙的次数,尽量不要过多的洗牙。
以上介绍的内容就是关于洗牙的一些知识,保护牙齿最好的方法就是平时每天要早晚刷牙,勤加护理。
